Een dwergkonijn van 2 jaar werd aangeboden op de praktijk met pijn bij het urineren. Ze begon ook minder te eten en was minder vrolijk dan anders.
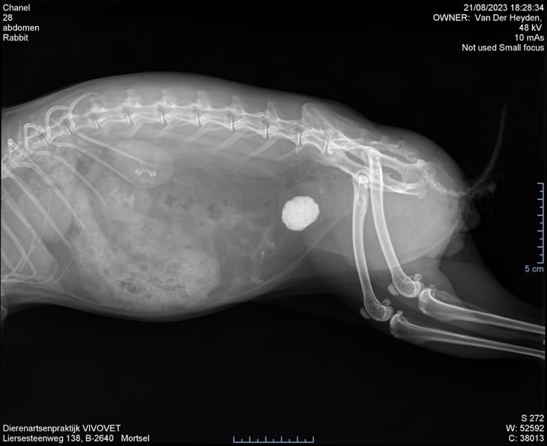
Uit het klinisch onderzoek bleek al snel dat haar buik heel gevoelig was ter hoogte van de blaas. Haar blaas was heel groot en voelde hard aan. Bijkomend was het konijntje ok veel te zwaar ten gevolge van haar sterilisatie 1,5 jaar geleden. Er werd besloten om met behulp van een RX een blaassteen uit te sluiten. Konijnen met obesitas zijn namelijk gepredisponeerd voor het ontwikkelen van blaasstenen. In combinatie met haar klachten was hier een grote kans toe.
Met behulp van de RX opname was de diagnose snel gesteld. Er zat een grote blaassteen die zorgde voor veel ongemak en pijn.
De blaassteen werd chirurgisch verwijderd via een incisie in de blaas. De steen was bijna even groot als een €2-muntstuk.
Konijnen zijn heel sterke beestjes en laten bijna niet merken dat ze ziek zijn. Als een konijn ziektesymptomen vertoont dan moet er altijd snel worden gehandeld.
Na de operatie werd er nog een RX opname gemaakt om te kijken of alles uit de blaas werd verwijderd. Alles zag er goed uit. Er werden geen restjes van de steen opgemerkt op de RX foto.
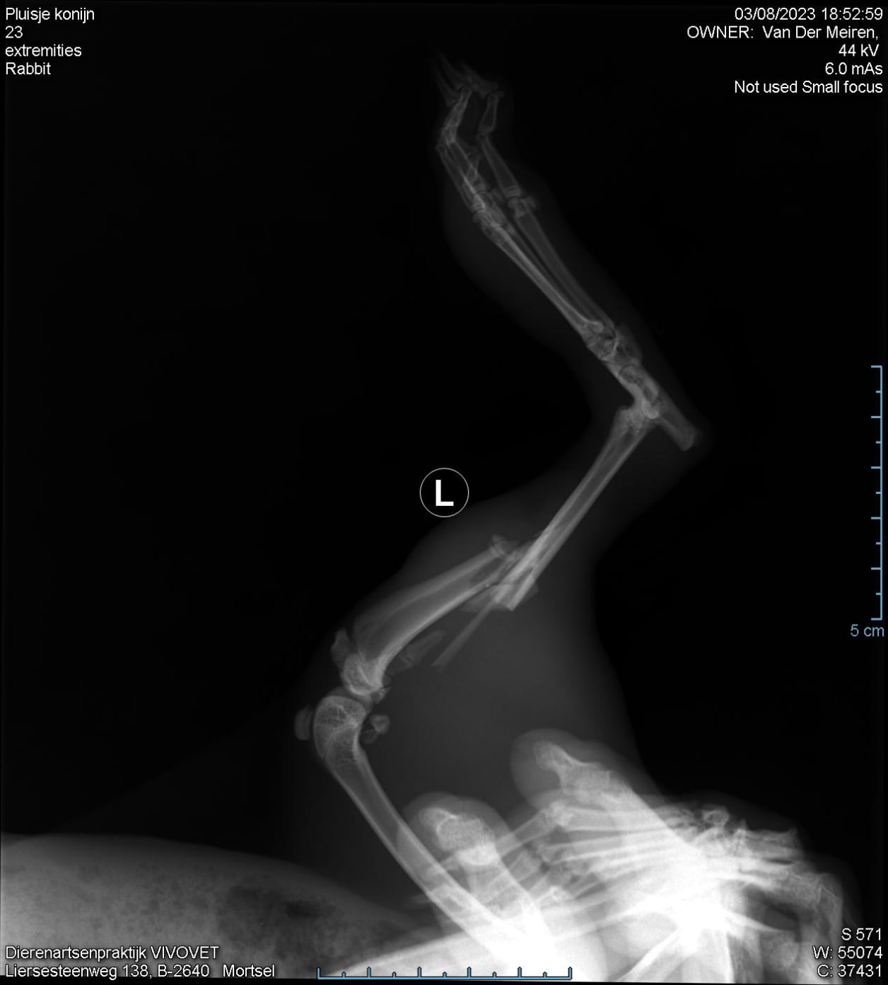
Dit konijntje (6 maanden oud) werd gevonden in de tuin met een scheef pootje. De eigenaar had onmiddellijk door dat er iets mis was en kwam diezelfde dag nog naar de praktijk voor controle. Al snel werd duidelijk dat de achterpoot gebroken was en er verdere stappen ondernomen moesten worden.
Op de RX opname is een verplaatste breuk te zien.
De poot slingerde heen en weer. Pootamputatie was in dit geval de enige oplossing.
De poot werd ter hoogte van de knie afgezet. De operatie is vlot verlopen zonder bijkomende complicaties.
Bij het wakker worden was het nog even wennen, maar diezelfde dag al kon hij naar huis. Voor konijnen is het geen probleem om maar met 3 poten verder te leven. Uiteraard vraagt dit wel nog een beetje tijd en oefening.
Er werd nog pijnstilling meegeven voor de komende dagen, maar gelukkig had hij er weinig last van en begon hij snel terug te eten.
Een week later is het konijntje op controle geweest. De draadjes werden verwijderd en de wonde ziet er heel mooi uit.
Hij kan ook al veel beter wandelen op zijn 3 pootjes. Oefening baart kunst.